On the popular Chinese social media platform Xiaohongshu, also known as RedNote, an account called “Georgia Notes” (@格鲁吉亚小纸条) offers tips and advice to Chinese nationals planning a trip to the Republic of Georgia. In one post...
Aggregated News

Photo licensed for use by CC BY-SA 4.0 on Wikimedia Commons
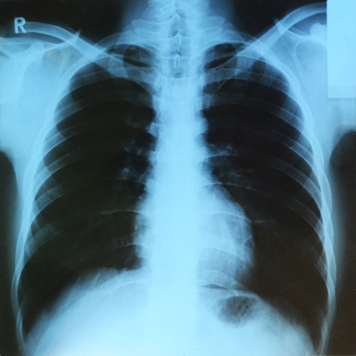
Millions of dollars are being spent to develop artificial intelligence software that reads x-rays and other medical scans in hopes it can spot things doctors look for but sometimes miss, such as lung cancers. A new study reports that these algorithms can also see something doctors don’t look for on such scans: a patient’s race.
The study authors and other medical AI experts say the results make it more crucial than ever to check that health algorithms perform fairly on people with different racial identities. Complicating that task: The authors themselves aren’t sure what cues the algorithms they created use to predict a person’s race.
Evidence that algorithms can read race from a person’s medical scans emerged from tests on five types of imagery used in radiology research, including chest and hand x-rays and mammograms. The images included patients who identified as Black, white, and Asian. For each type of scan, the researchers trained algorithms using images labeled with a patient’s self-reported race. Then they challenged the algorithms to predict...